Röntgen-Aufnahmen zeigen, dass Makaken in Hals und Kopf die nötigen Hohlräume fürs Sprechen hätten. Sie sprechen aber aus anderen Gründen trotzdem nicht.
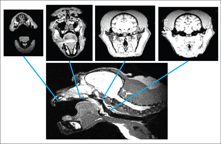
Bisher hatten Forscher gesagt, dass Affen nicht sprechen könnten, selbst wenn sie wollten, und hatten das mit den anatomischen Voraussetzungen begründet. Diese Daten wurden meist über Gipsabdrücke von toten Affen erhoben. Wissenschaftler aus den USA und Österreich haben für diese Frage jetzt zum ersten Mal lebende Affen untersucht, weil sie glaubten, dass der Sprechtrakt in Hals und Rachen viel flexibler ist, als es die Abdrücke von toten Affen zeigen. Wie die Forscher im Fachjournal Science Advances schreiben, haben sie Röntgenaufnahmen von Makaken gemacht, während diese Laute von sich gaben, schmatzten, kauten oder schlucken.
Die Forscher vermaßen so die Hohlräume in Mund und Rachen der Tiere. Sie folgern: Die Makaken wären anatomisch durchaus in der Lage, Laute zu erzeugen, die der menschlichen Sprache ähnlich wären. Die Forscher haben aufgrund ihrer Erkenntnisse auch eine Makaken-Stimme simuliert. So würde ein Affe klingen, wenn er auf Englisch einen Heiratsantrag machen würde:
An der Anatomie liegt es also nicht, dass Affen nicht sprechen. Die Forscher halten etwas Anderes für den Grund dahinter: Den Makaken fehlt ein sprachbereites Gehirn.
